葛根素(PU)作为一种天然化合物,可能通过其抗炎和调节血脂的特性来影响动脉粥样硬化(AS)。肠道菌群与AS之间存在紧密联系,其中三甲胺N-氧化物(TMAO)是AS的独立预测因子。葛根素可能通过调节肠道菌群和降低TMAO水平来减缓AS的发展。这些发现为葛根素在AS治疗中的潜在应用提供了新视角,但仍需进一步深入研究其确切机制。
2024年5月22日,GUT期刊在线发表了题为“Puerarin alleviates atherosclerosis via the inhibition of Prevotella copri and its trimethylamine production”的论文,该研究首次在临床环境中探索葛根素对动脉粥样硬化的影响,研究发现葛根素通过调节肠道微生物群,抑制其排放“毒物”,从而减轻动脉粥样硬化。在动脉粥样硬化的临床治疗中可以考虑加入葛根素补充剂,或开发基于葛根素的药物。
研究思路:
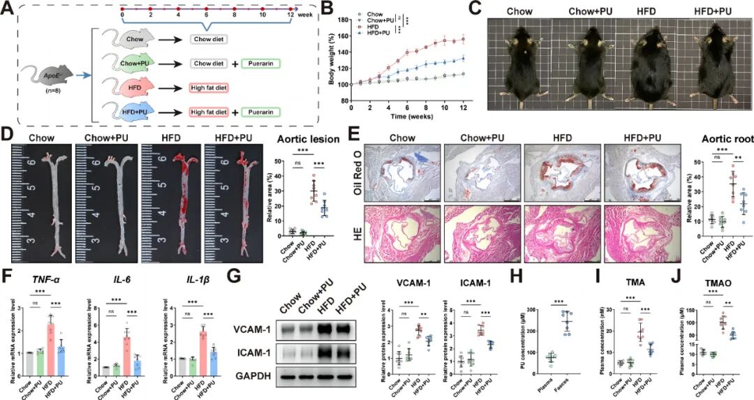
PU抗AS效果:通过ApoE-/-小鼠模型证实,PU显著减轻了高脂饮食诱导的体重增加、脂肪积累、主动脉斑块和炎症,同时降低了血浆TMAO水平。
肠道微生物机制:16S rRNA测序显示PU改变了肠道微生物群落,特别是降低了P. copri的丰度。粪便菌群移植实验和体外实验进一步表明,PU通过抑制P. copri及其TMA产生能力来改善AS。
P. copri在AS中的作用:P. copri单菌定植加剧了AS症状,并逆转了PU的抗AS效果,突出了P. copri在PU作用中的重要性。
人类AS的潜在应用:在高脂血症患者中,P. copri丰度和血浆TMAO水平与AS正相关。PU干预降低了这些指标,并改善了胆固醇水平,表明其对人类AS有潜在治疗价值。
分子机制:转录组,蛋白组揭示了PU通过改变TMAO代谢通路和损伤P. copri细胞膜来抑制TMA产生,从而改善AS。
1.葛根素 (PU) 能够有效减轻小鼠动脉粥样硬化 (AS) 症状
将ApoE-/- 小鼠被随机分为高脂饮食组 (HFD) 和高脂饮食+PU 处理组 (HFD+PU)。研究发现PU干预组小鼠体重增加减缓,主动脉斑块面积减小,炎症因子水平降低,并且血浆三甲胺 (TMA) 和三甲胺N-氧化物 (TMAO) 水平也显著下降。这些结果表明,PU具有抗AS作用,并且其作用机制可能与调节肠道菌群和降低TMAO水平有关。

研究人员将高脂饮食诱导的ApoE-/-小鼠分为两组,分别移植来自高脂饮食组和高脂饮食+PU干预组小鼠的粪便菌群。结果显示,移植来自PU干预组小鼠粪便菌群的小鼠体重增加减缓,主动脉斑块面积减小,炎症因子水平降低,并且血浆TMAO水平降低。这些结果表明,PU的抗AS作用是通过调节肠道菌群实现的。

3. PU能够显著降低P. copri的丰度,从而发挥抗AS作用
进一步分析高脂饮食诱导的ApoE-/-小鼠肠道菌群,并比较了PU干预组与对照组的差异。结果显示:PU干预组小鼠肠道菌群α多样性有所增加,菌群结构发生改变,Prevotella丰度显著降低。PU干预后,粪便样本中P. copri的表达量显著降低。粪便菌群移植(FMT)实验中,移植来自PU干预组小鼠的粪便菌群,受体小鼠肠道中P. copri的丰度也显著降低。
体外实验证实P. copri具有产生TMA的能力,并且PU能够抑制其TMA的产生。PU处理导致P. copri细胞膜完整性受损,细胞活力下降。PU能够调节肠道菌群,显著降低P. copri的丰度,并抑制其产生TMA的能力,从而发挥抗AS作用。在透射电镜下,PU处理后P. copri细胞膜形态异常,表面扭曲,内部形成囊泡。
PU能够调节肠道菌群,显著降低P. copri的丰度,并抑制其产生TMA的能力,从而发挥抗AS作用。

4. P. copri能够促进动脉粥样硬化(AS)的发生发展
研究人员将P. copri移植到高脂饮食诱导的ApoE-/-小鼠肠道中,观察其对动脉粥样硬化的影响。通过qRT-PCR检测小鼠肠道中P. copri的表达量,确认移植成功。移植P. copri的小鼠体重显著增加,主动脉斑块面积扩大,炎症因子水平和TMAO水平升高,表明动脉粥样硬化程度加重。

5. P. copri能够拮抗葛根素对动脉粥样硬化的改善作用
研究人员首先用葛根素处理高脂饮食诱导的ApoE-/-小鼠,然后,将P. copri移植到这些小鼠肠道中,观察其对葛根素改善作用的拮抗效果。
葛根素能够改善高脂饮食诱导的ApoE-/-小鼠的动脉粥样硬化,表现为体重降低、主动脉斑块面积缩小、炎症因子水平和TMAO水平下降。
将P. copri移植到葛根素处理的小鼠肠道中后,葛根素改善动脉粥样硬化的作用被逆转,表现为体重增加、主动脉斑块面积扩大、炎症因子水平和TMAO水平升高。
这表明P. copri能够拮抗葛根素对动脉粥样硬化的改善作用。

研究团队首先招募了76名高脂血症患者,其中50名被诊断为AS患者,26名未患病。研究人员分析了患者们的颈动脉斑块评分、粪便中P. copri细菌的表达量以及血浆中三甲胺氧化物(TMAO)的水平,并评估了它们之间的相关性。结果表明,AS患者在粪便中P. copri的表达量和血浆TMAO水平显著高于未患病患者,并且这些指标与颈动脉斑块评分呈现正相关关系。
研究团队进行了随机对照试验。研究人员招募了24名AS患者,并将他们随机分为:葛根素组和安慰剂组。经过治疗干预后,研究人员通过评估颈动脉斑块评分、粪便中P. copri的表达量、血浆TMAO水平、粪便微生物组成以及代谢组学特征,发现葛根素干预显著降低了动脉粥样硬化患者粪便中P. copri的表达量和血浆TMAO水平。
葛根素不仅影响了这些直接的生物标志物,还改变了动脉粥样硬化患者的肠道微生物组成,降低了P. copri的丰度。此外,葛根素还调节了患者的代谢组学特征,特别是与TMAO代谢途径和胆固醇代谢途径相关的代谢物。

该研究首次在人体内证实了葛根素(PU)可以通过调节肠道微生物群,降低动脉粥样硬化标志物,从而减缓动脉粥样硬化的发生发展。研究人员发现,PU可以降低产生三甲胺(TMA)的普雷沃菌科普里菌(P. copri)的丰度,进而减少血浆中TMA和其氧化产物TMAO的水平,从而减轻动脉粥样硬化症状。
该研究为PU作为一种新型抗动脉粥样硬化药物提供了理论依据,并为动脉粥样硬化的治疗提供了新的思路。